
Modern dentures designed for comfort, stability, and a natural appearance.
On this page, you'll find
What are comfortable dentures
Before & after
Materials and design
Planning and assessment
Immediate dentures
Ongoing care
Fees
Modern dentures designed for comfort, stability, and a natural appearance.
On this page, you'll find
What are comfortable dentures
Before & after
Materials and design
Planning and assessment
Immediate dentures
Ongoing care
Next steps
Comfortable Dentures can be used to replace several missing teeth or a full arch.
For patients with multiple missing teeth who do not want implant treatment this can be a great way to restore the whole upper and lower jaw efficiently and comfortably.
We provide:
Used where no natural teeth remain in the upper or lower arch
Designed individually to suit the shape of the mouth and gums
Planned for comfort, stability, and a natural appearance
Used where some natural teeth are still present
Designed to integrate with remaining teeth
Retention clips can often be tooth- or gum-coloured for discretion
Each denture is designed individually, taking into account the shape of the mouth, the remaining teeth and gums, and how the denture will function day to day.
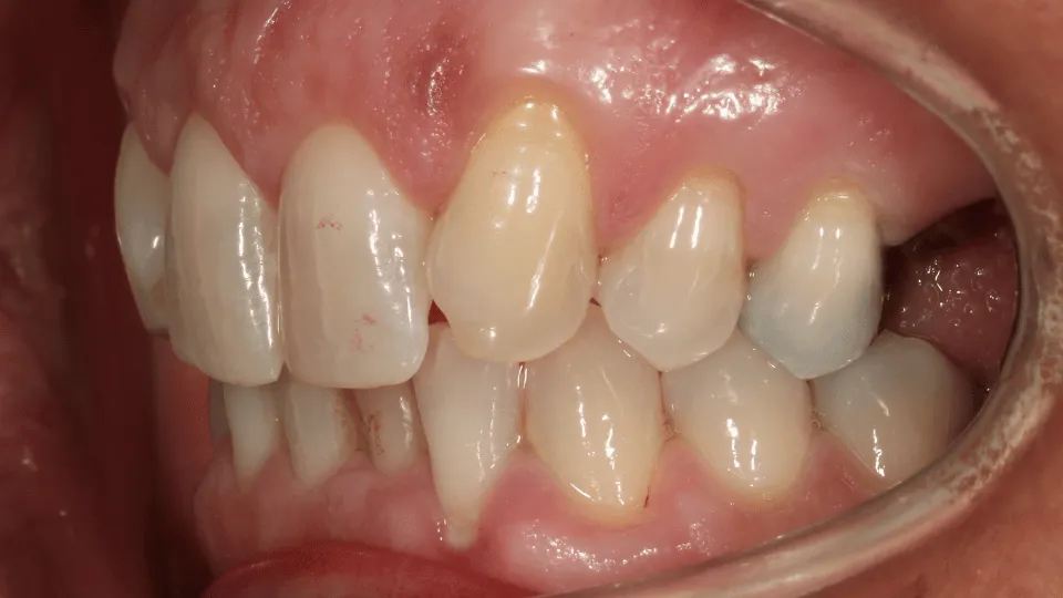
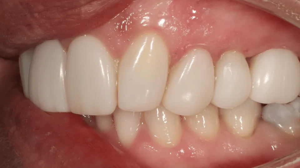
These examples illustrate the types of results that may be achieved with Comfortable Dentures at N1 Dental.
Results vary depending on:
Starting conditions and remaining teeth
Bone and gum health
Individual anatomy and tissue response
Denture design and materials used
Results vary depending on starting conditions and individual anatomy.
Case 1
Before

After

Case 2
Before

After

Dentures are often thought of as uncomfortable or obvious, but modern approaches can be very different.
At N1 Dental, we provide carefully planned dentures designed to feel comfortable, sit securely, and blend naturally with your smile.
We use the following materials depending on what is best for each individual patients circumstances
Acrylic
Lightweight cobalt chrome
Advanced biocompatible materials such as PEEK
Tooth- or gum-coloured retention clips for partial dentures
When planned carefully, many patients find that others are not aware they are wearing a denture.
Before recommending dentures, we begin with a Biological Foundations Plus consultation.
Where needed, supportive options such as IV sedation can also be discussed to help make the process more manageable.
Gum and bone health
Remaining teeth
Bite and facial support
Comfort, function, and long-term stability
In some situations, immediate dentures can be provided.
These are fitted on the same day that teeth are removed, allowing you to leave with teeth and a smile while the gums and bone heal underneath.
Where appropriate, this can be planned alongside Biological Tooth Removal and discussed in advance to ensure expectations are clear.
Dentures work best when the remaining teeth and gums are kept healthy.
We often recommend Enamel Spa as part of routine care and Remin Therapy to help support the strength of natural teeth.
Some patients also choose Bio Whitening beforehand, so denture teeth can be matched to a brighter natural shade.
Comfortable Dentures
From £1,500 – £1,995 per denture
Comfortable
Dentures
From £1,500 – £1,995
per denture
Fees are confirmed following assessment, based on design, materials, and complexity.
If you're missing several teeth, already wear a denture, or have been advised that implants may not be suitable, Comfortable Dentures may be an appropriate option.

Highbury & Islington (Victoria line) - 15min walk
Angel (Northern line) - 15min walk
Victoria Line / Overground
Essex Road (National Rail) - 5min walk
Canonbury Station (Overground) - 10min walk
Highbury & Islington (National Rail & Overground) - 15min walk
21, 38, 73, 341, 476
Stops within 2-5 min walk
Limited paid parking is available on Halliford St & Rheidol Terrace
Bike racks are available just outside the clinic.
Highbury & Islington (Victoria line) - 15min walk
Angel (Northern line) - 15min walk
Essex Road (National Rail) - 5min walk
Canonbury Station (Overground) - 10min walk
Highbury & Islington (National Rail & Overground) - 15min walk
21, 38, 73, 341, 476
Stops within 2-5 min walk
Limited paid parking is available on Halliford St & Rheidol Terrace
Bike racks are available just outside the clinic.

The first biologically minded,
health-led, dental clinic in Islington.
Looking beyond teeth to understand
how oral health fits into the bigger picture.
©2026 N1 Dental - All Rights Reserved

The first biologically minded,
health-led, dental clinic in Islington.
Looking beyond teeth to understand
how oral health fits into the bigger picture.
©2026 N1 Dental - All Rights Reserved