
A gentle, additive approach to enhancing your smile while preserving natural enamel.
On this page, you'll find
What this is
Before and after
When bonding may be appropriate
What to expect
Materials and care
Planning for the best result
Assessment and suitability
Fees
A gentle, additive approach to enhancing your smile while preserving natural enamel.
On this page, you'll find
What this is
Before and after results
When bonding may be appropriate
What to expect
Materials and care
Planning for the best result
Assessment and suitability
Fees
Composite Bonding is a popular and rapidly growing treatment in the UK for patients looking to improve their smile without removing healthy tooth structure.
It uses tooth-coloured composite material to refine the shape, proportions, and appearance of teeth in an additive way – meaning material is carefully applied and sculpted onto the tooth surface, rather than the tooth being drilled down or replaced.
In cosmetic dentistry, Composite Bonding is sometimes also referred to as direct composite veneers. While the concept is straightforward, the outcome depends heavily on planning, material choice, and clinical technique. When carried out carefully, it can deliver natural-looking, conservative, and repairable results that respect the underlying enamel.
As with all treatments at N1 Dental, suitability and approach are assessed individually as part of a full consultation.
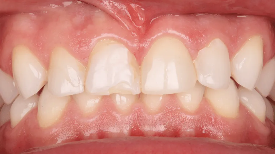
These examples illustrate the types of changes that may be achieved with Composite Bonding at N1 Dental.
Results vary depending on:
Enamel condition and starting point
Bite forces and tooth wear patterns
Number of teeth being treated
Individual expectations and goals
Images shown are for illustrative purposes only. Results vary depending on enamel condition, bite, and starting point.
Case 1
Before

After

Case 2
Before

After

Repair chipped or broken edges
Close small gaps or black triangles
Smooth uneven or worn edges
Improve tooth proportions and symmetry
Restore areas of decay or damage while considering overall appearance
Suitability is assessed on a case-by-case basis following a full clinical examination.
Treatment follows a careful, aesthetic-focused process:
The tooth surface is assessed and gently prepared
Composite material is precisely placed and bonded to the tooth
The restoration is shaped and polished to blend naturally
Treatment is often completed in a single visit. More complex cases may be planned over several appointments.

Mercury-free and BPA-free materials that blend naturally with your teeth.

Bonding can be refreshed, repaired, or re-polished over time as part of ongoing care.

Materials selected with biocompatibility and long-term health in mind.
For the most predictable and aesthetic outcomes, Composite Bonding is often planned as part of a broader treatment sequence rather than in isolation.
Tooth straightening, where alignment affects proportions or symmetry
Tooth whitening, to establish a stable base colour before bonding
Bite assessment and protection, particularly where clenching or grinding is present
If teeth are heavily worn, fractured, or subject to significant bite forces, Composite Bonding alone may not provide sufficient long-term protection. In these situations, we may instead discuss Tooth Kind Crowns or Onlays, or a broader tooth-wear management plan.
All options are explained clearly so you can make an informed decision that balances appearance, longevity, and tooth preservation.
Before any Composite Bonding is planned, we begin with a full assessment as part of a Biological Foundations consultation.
This allows us to understand the health and condition of your teeth and gums, assess enamel quality, bite forces, and overall oral stability, and determine whether Composite Bonding is an appropriate option.
As part of this assessment, we commonly use detailed clinical examination, 3D digital scans, and high-resolution photography. Where helpful, a smile preview may also be used to visualise potential changes before treatment.
This stage also helps us identify whether preparatory treatments may be beneficial, such as tooth straightening, whitening, or bite management, before bonding is considered.
Composite Bonding
From £495 – £795 per tooth
Composite Bonding
From £495 – £795
per tooth
Existing composite bonding removal
£195 per tooth
Existing composite
bonding removal
£195 per tooth
Composite bonding repairs
£195 per tooth
Fees depend on complexity and are confirmed following assessment.
Repairs and adjustments are often more conservative and cost-effective than full replacement.
If you're interested in a gentle, enamel-preserving way to enhance your smile, Composite Bonding may be appropriate.

Highbury & Islington (Victoria line) - 15min walk
Angel (Northern line) - 15min walk
Victoria Line / Overground
Essex Road (National Rail) - 5min walk
Canonbury Station (Overground) - 10min walk
Highbury & Islington (National Rail & Overground) - 15min walk
21, 38, 73, 341, 476
Stops within 2-5 min walk
Limited paid parking is available on Halliford St & Rheidol Terrace
Bike racks are available just outside the clinic.
Highbury & Islington (Victoria line) - 15min walk
Angel (Northern line) - 15min walk
Essex Road (National Rail) - 5min walk
Canonbury Station (Overground) - 10min walk
Highbury & Islington (National Rail & Overground) - 15min walk
21, 38, 73, 341, 476
Stops within 2-5 min walk
Limited paid parking is available on Halliford St & Rheidol Terrace
Bike racks are available just outside the clinic.

The first biologically minded,
health-led, dental clinic in Islington.
Looking beyond teeth to understand
how oral health fits into the bigger picture.
©2026 N1 Dental - All Rights Reserved

The first biologically minded,
health-led, dental clinic in Islington.
Looking beyond teeth to understand
how oral health fits into the bigger picture.
©2026 N1 Dental - All Rights Reserved