
Minimally invasive, tooth-coloured restorations designed to preserve natural tooth structure.
On this page, you'll find
What composite restorations are
Before and after
Materials and approach
When they may be appropriate
What to expect
Longer-term protection
Supportive therapies
Fees
Minimally invasive, tooth-coloured restorations designed to preserve natural tooth structure.
On this page, you'll find
What composite restorations are
Before and after
Materials and approach
When they may be appropriate
What to expect
Longer-term protection
Supportive therapies
Fees
What are composite restorations?
Teeth can chip, break, wear, or develop areas of decay over time. Early signs may include sensitivity to hot, cold, or sweet foods, or a rough area that doesn't feel quite right.
Composite restorations are tooth-coloured restorations that bond directly to the natural tooth. They are designed to restore shape, strength, and function while preserving as much healthy tooth structure as possible.
At N1 Dental, assessment always comes first, usually as part of a Biological Foundations consultation, so we can recommend the most appropriate and conservative option for your tooth.
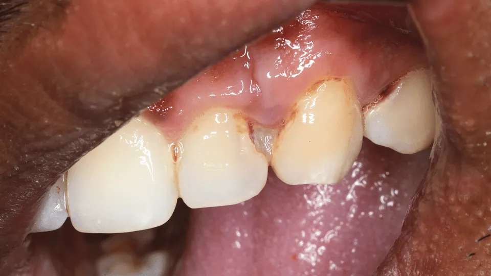
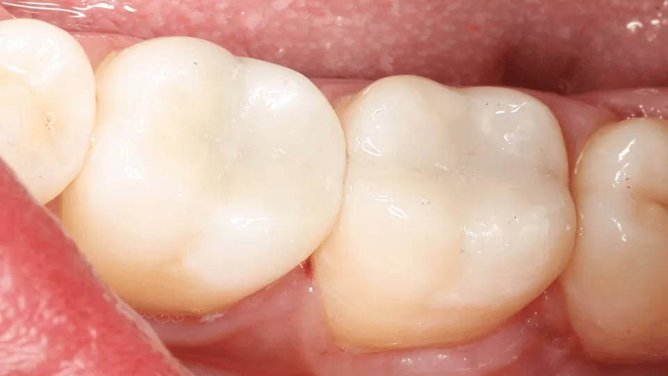
These examples illustrate the range of composite restorations we carry out at N1 Dental.
The size and location of the restoration
The condition of the surrounding tooth structure
Individual wear patterns and bite forces
Results vary depending on tooth condition and starting point. Images shown are for illustrative purposes.
Case 1
Before

After

Case 2
Before

After


No mercury-containing materials are used in any of our restorations.

All composite materials are selected to be free from
BPA.

Materials are carefully matched to blend naturally with the surrounding tooth.

Composite restorations can be repaired or adjusted without replacing.
Composite restorations may be used to:
Treatment is often completed in a single visit.
Treat decayed teeth
Repair chipped or broken areas
Replace older metal or white fillings
Restore both front and back teeth
Treatment follows a careful, comfort-focused process:
The tooth is carefully prepared
Composite material is precisely placed and bonded to the tooth
The restoration is shaped and polished to blend naturally
Local anaesthetic is used when needed, and our focus is always on comfort and precision.
In cases where a tooth is more heavily damaged, cracked, or weakened, a composite restoration alone may not provide enough long-term support.
Tooth-kind composite onlays
Tooth-kind crowns
We'll always explain the reasoning clearly so you can make an informed decision.
In some cases, additional supportive therapies may be used alongside composite restorations where appropriate. These are not standalone treatments and are selected based on individual clinical need.

Ozone therapy

Nerve-saving treatment

SMART amalgam removal
Composite restorations
£395-£795
Fees depend on tooth size and complexity. Exact fees are confirmed following assessment.
If you've noticed sensitivity, a chipped area, or older fillings you're concerned about, composite restorations may be an appropriate option.

Highbury & Islington (Victoria line) - 15min walk
Angel (Northern line) - 15min walk
Essex Road (National Rail) - 5min walk
Canonbury Station (Overground) - 10min walk
Highbury & Islington (National Rail & Overground) - 15min walk
21, 38, 73, 341, 476
Stops within 2-5 min walk
Limited paid parking is available on Halliford St & Rheidol Terrace
Bike racks are available just outside the clinic.
Highbury & Islington (Victoria line) - 15min walk
Angel (Northern line) - 15min walk
Victoria Line / Overground
Essex Road (National Rail) - 5min walk
Canonbury Station (Overground) - 10min walk
Highbury & Islington (National Rail & Overground) - 15min walk
21, 38, 73, 341, 476
Stops within 2-5 min walk
Limited paid parking is available on Halliford St & Rheidol Terrace
Bike racks are available just outside the clinic.

The first biologically minded,
health-led, dental clinic in Islington.
Looking beyond teeth to understand
how oral health fits into the bigger picture.
©2026 N1 Dental - All Rights Reserved

The first biologically minded,
health-led, dental clinic in Islington.
Looking beyond teeth to understand
how oral health fits into the bigger picture.
©2026 N1 Dental - All Rights Reserved