
A preservation-focused approach to rebuilding worn teeth and restoring comfort, function, and bite stability.
On this page, you'll find
What is toothwear
Before & After
How it works
What toothwear look and feel like
Our approach
Assessment & foundations
Combining treatments
Fees
A preservation-focused approach to rebuilding worn teeth and restoring comfort, function, and bite stability.
On this page, you'll find
What is toothwear
Before & After
Assessment & foundations
Combining treatments
How it works
Our approach
Fees
Teeth are designed to last, but over time they can wear down.
Toothwear is common in people who clench or grind, often at night, and it can be made worse by acid exposure from diet, reflux, vomiting conditions, or alcohol.
Early on, toothwear may be painless and easy to ignore. As enamel is lost, the softer dentine underneath can wear more quickly, and teeth may begin to look shorter, uneven, or feel sensitive.
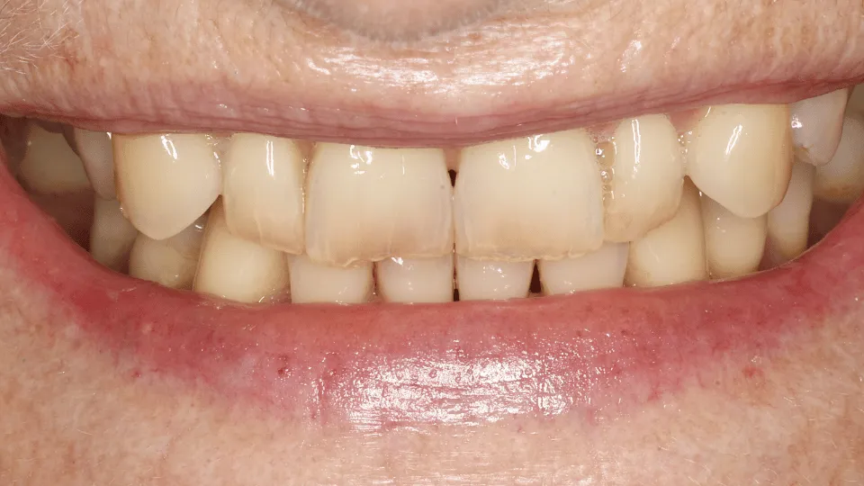
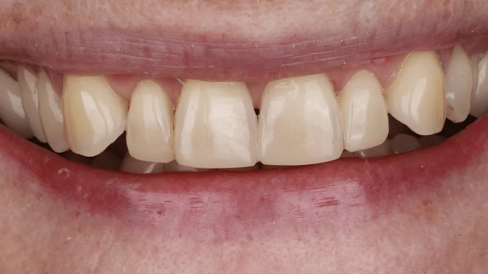
These images show real cases where worn teeth have been rebuilt using a conservative, composite-based approach.
Results vary depending on the extent of toothwear, bite forces, grinding patterns, and the condition of the enamel at the start of treatment.
Images are shared to demonstrate typical outcomes, not to promise identical results.
Case 1
Before

After

Case 2
Before

After


An additive, enamel-preserving approach that avoids unnecessary removal of tooth structure.

Composite is used to carefully rebuild worn tooth structure and restore form.

Materials are repairable and serviceable, allowing adjustments over time.
Localised wear, affecting certain teeth
Generalised wear, involving both front and back teeth and altering how the bite functions
At N1 Dental, our aim is to restore worn teeth in a way that preserves remaining enamel wherever possible.
In line with our preservation-focused philosophy, we often use composite-based restorations to add back what has been lost, rather than removing more tooth structure for traditional crowns.
Tooth length — restoring natural height and proportion
Tooth length — restoring natural height and proportion
Bite function — supporting comfortable, stable occlusion
Strong foundations come first. Toothwear Restoration always begins with a Biological Foundations consultation, allowing us to assess:
In some cases, treatments such as Remin Therapy, teeth straightening, or addressing other issues may be recommended first, so restorations are placed on a stable, healthy base.
Enamel condition and remaining tooth structure
Bite forces and jaw function
Gum health and overall oral condition
Factors contributing to wear, such as grinding or acid exposure
Where clenching or grinding is present, we routinely provide night-time protective appliances to help shield restored teeth from excessive forces
Maintain comfort and function
Protect restorations from wear
Support long-term stability
This helps maintain comfort, protect restorations, and support long-term stability.
Depending on which teeth are involved, Toothwear Restoration may be combined with other treatments, including:
Tooth Kind Crowns or Onlays
Tooth Kind Bridges
Composite Restorations
Ceramic Implants
Comfortable Dentures
Your plan is always discussed clearly and tailored to your specific situation.
One of the key advantages of a composite-based approach is flexibility.
Over time, typically around five to seven years, some areas may need refreshing, repair, or replacement. The key point is that the underlying natural teeth are usually preserved.
By conserving as much natural tooth structure as possible, future treatment options remain open and adaptable as needs change.
Toothwear Restoration
Discussed in advance
Fees vary depending on the number of teeth involved and treatment complexity.
A personalised estimate is provided following assessment.
If your teeth appear worn or shortened, or you've noticed sensitivity or discomfort when eating or drinking, Toothwear Restoration at N1 Dental may be appropriate.

Highbury & Islington (Victoria line) - 15min walk
Angel (Northern line) - 15min walk
Essex Road (National Rail) - 5min walk
Canonbury Station (Overground) - 10min walk
Highbury & Islington (National Rail & Overground) - 15min walk
21, 38, 73, 341, 476
Stops within 2-5 min walk
Limited paid parking is available on Halliford St & Rheidol Terrace
Bike racks are available just outside the clinic.

The first biologically minded,
health-led, dental clinic in Islington.
Looking beyond teeth to understand
how oral health fits into the bigger picture.
©2026 N1 Dental - All Rights Reserved
Highbury & Islington (Victoria line) - 15min walk
Angel (Northern line) - 15min walk
Victoria Line / Overground
Essex Road (National Rail) - 5min walk
Canonbury Station (Overground) - 10min walk
Highbury & Islington (National Rail & Overground) - 15min walk
21, 38, 73, 341, 476
Stops within 2-5 min walk
Limited paid parking is available on Halliford St & Rheidol Terrace
Bike racks are available just outside the clinic.

The first biologically minded,
health-led, dental clinic in Islington.
Looking beyond teeth to understand
how oral health fits into the bigger picture.
©2026 N1 Dental - All Rights Reserved