
A structured, wellness-focused pathway that supports gum health, strengthens enamel, and improves smile aesthetics – planned as one coordinated programme.
On this page, you'll find
Who this is for
The objective
Before and After
What the package includes
Why sequence matters
Fees
A structured, wellness-focused pathway that supports gum health, strengthens enamel, and improves smile aesthetics – planned as one coordinated programme.
On this page, you'll find
Who this is for
The objective
Before And After
What the package includes
Why sequence matters
Fees
The Bio Wellness Package is designed for patients who:
Want more than a single, standalone treatment
Value a preventative, whole-body approach to oral health
Prefer a planned pathway rather than piecing treatments together
Are early in their care at N1 Dental and want a strong foundation
It is not intended for emergency care or one-off hygiene visits.
The aim of the Bio Wellness Package is to address oral health and aesthetics in the right sequence, rather than treating each element in isolation.
Planning the treatments together allows:
Gum health to be supported first
Enamel to be strengthened and sensitivity reduced
Whitening to be delivered once enamel health has been considered
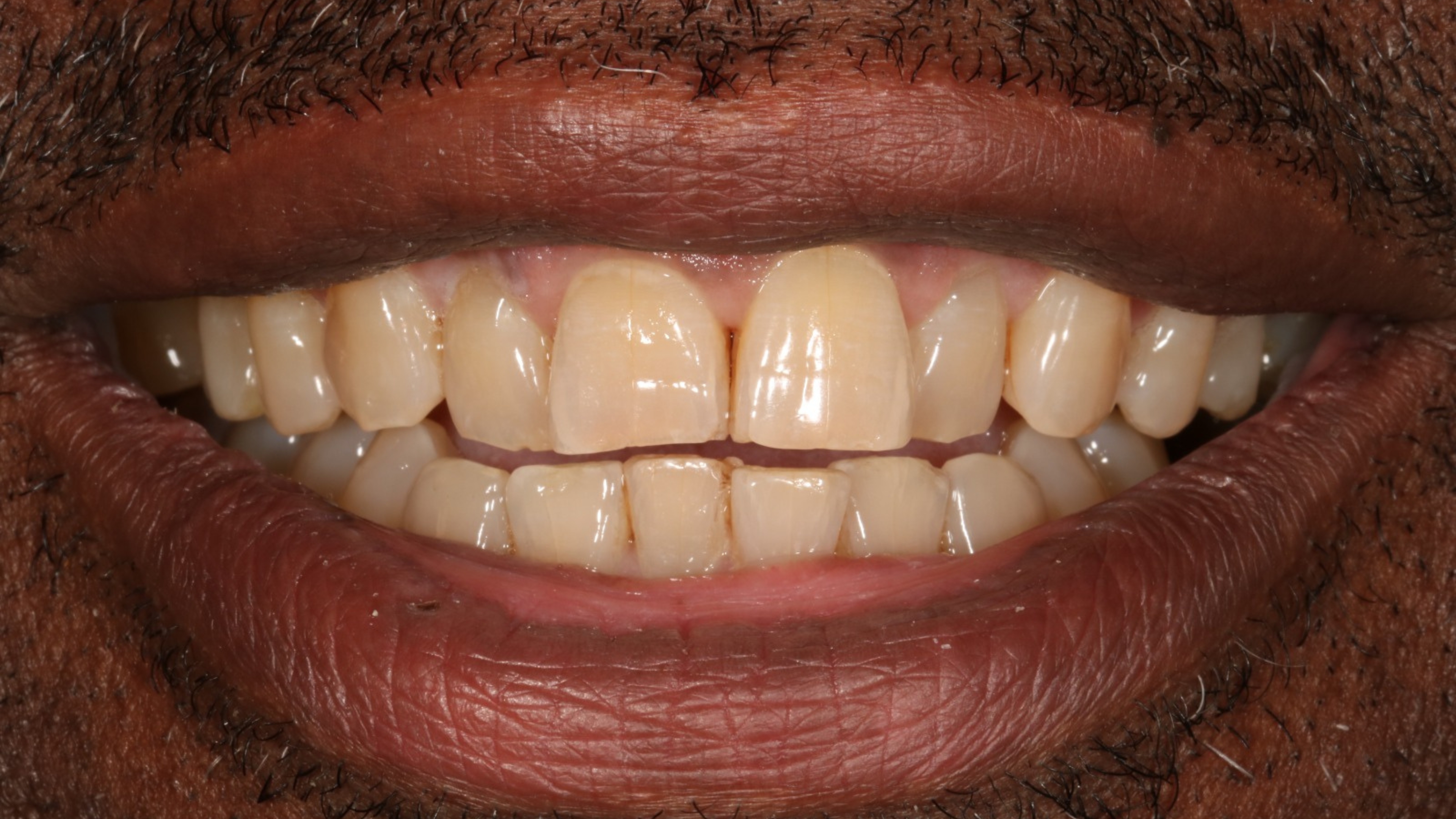
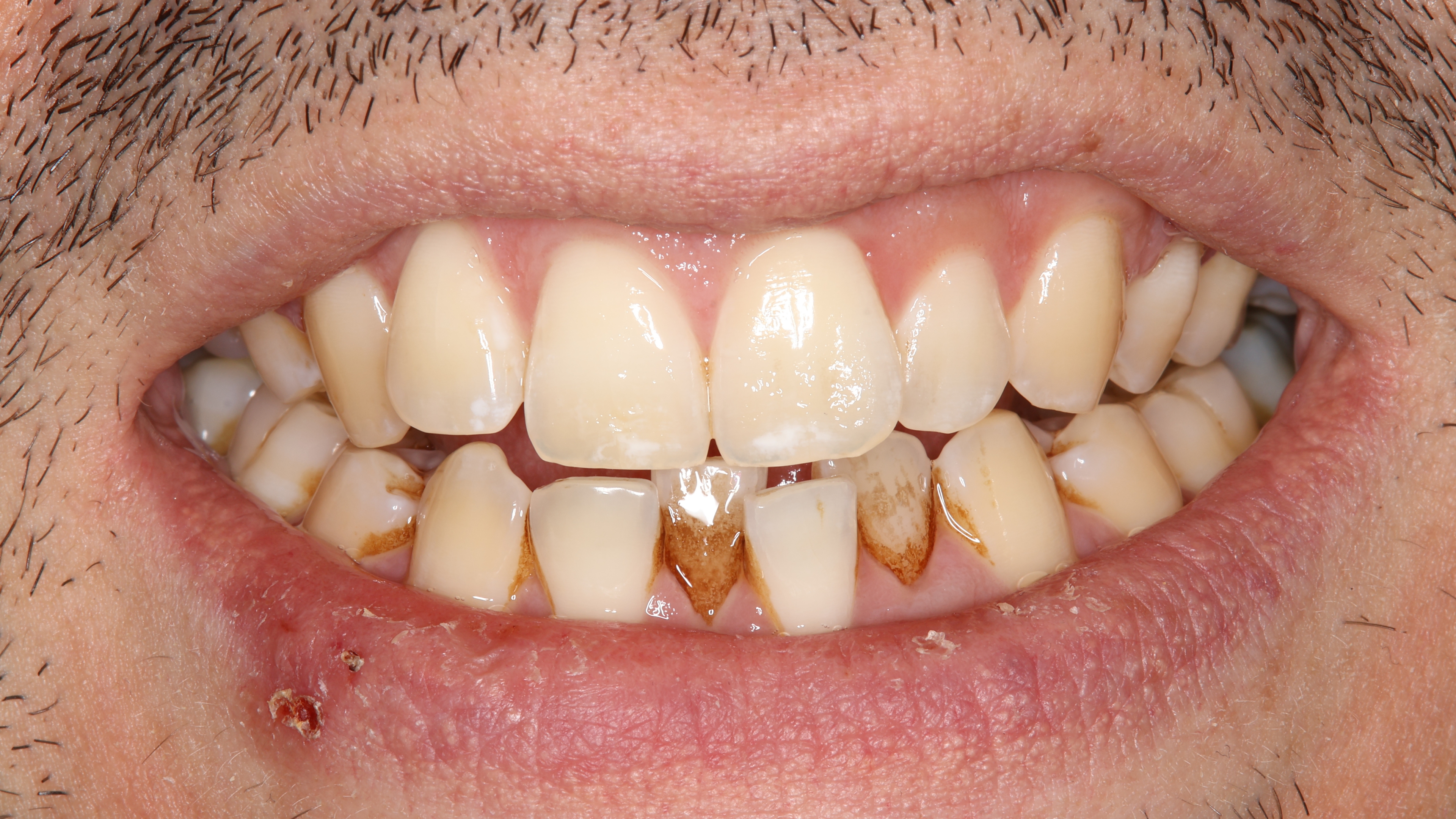
These examples illustrate the range of composite restorations we carry out at N1 Dental.
These examples illustrate the range of composite restorations we carry out at N1 Dental.
The size and location of the restoration
The condition of the surrounding tooth structure
Individual wear patterns and bite forces
Results vary depending on tooth condition and starting point. Images shown are for illustrative purposes.
Case 1
Before

After

Case 2
Before

After

What the package includes
Gentle, non-abrasive hygiene experience supporting gum health.
Enamel-support protocol designed to strengthen enamel and reduce sensitivity.
Biologically informed whitening approach delivered after enamel support.
Each element is planned and supervised by the dentist based on enamel health, gum status, and overall oral condition.
When planned together, each step is timed to support the next.

Prepares the oral environment and supports gum health.

Strengthens enamel and supports comfort and stability.

Delivered last, once enamel health has been addressed.
This coordinated approach allows each step to support the next, rather than treating each element in isolation.
Value of the Bio Wellness Package
Enamel Spa
£295
Remin Therapy
£1,295
Bio Whitening
£995
Total when booked separately
£2,585
£1,495
£1,495
This reflects the efficiency and coherence of delivering the treatments as one planned programme.
The Bio Wellness Package is not automatically recommended for every patient.

Highbury & Islington (Victoria line) - 15min walk
Angel (Northern line) - 15min walk
Victoria Line / Overground
Essex Road (National Rail) - 5min walk
Canonbury Station (Overground) - 10min walk
Highbury & Islington (National Rail & Overground) - 15min walk
21, 38, 73, 341, 476
Stops within 2-5 min walk
Limited paid parking is available on Halliford St & Rheidol Terrace
Bike racks are available just outside the clinic.
Highbury & Islington (Victoria line) - 15min walk
Angel (Northern line) - 15min walk
Essex Road (National Rail) - 5min walk
Canonbury Station (Overground) - 10min walk
Highbury & Islington (National Rail & Overground) - 15min walk
21, 38, 73, 341, 476
Stops within 2-5 min walk
Limited paid parking is available on Halliford St & Rheidol Terrace
Bike racks are available just outside the clinic.

The first biologically minded,
health-led, dental clinic in Islington.
Looking beyond teeth to understand
how oral health fits into the bigger picture.
©2026 N1 Dental - All Rights Reserved

The first biologically minded,
health-led, dental clinic in Islington.
Looking beyond teeth to understand
how oral health fits into the bigger picture.
©2026 N1 Dental - All Rights Reserved