
A conservative approach to replacing a missing tooth while preserving healthy enamel and avoiding surgery.
On this page, you'll find
What Tooth Kind Bridges are
Before and after
What to expect
Fees
When they may be suitable
Materials and flexibility
Assessment and planning
A conservative approach to replacing a missing tooth while preserving healthy enamel and avoiding surgery.
On this page, you'll find
What Tooth Kind Bridges are
Before and after
What to expect
When they may be suitable
Materials and flexibility
Assessment and planning
Fees
When a tooth is missing, one option for replacement is a bridge — a tooth that fills the gap, supported by the neighbouring teeth. Conventional bridges often require the teeth on either side of the gap to be heavily prepared, with much of the enamel removed to make space for crowns.
At N1 Dental, wherever appropriate, we look for ways to replace missing teeth while preserving as much healthy enamel as possible. One way we do this is with Tooth Kind Bridges.
Tooth Kind Bridges use a more conservative, minimally invasive approach. Instead of placing full crowns on the neighbouring teeth, we make very small, carefully planned preparations.
We then use a specialist white fibre — similar in concept to materials used in high-strength applications — to act as a light but strong support. A tooth-coloured composite tooth is built into the space and bonded to this fibre and the neighbouring teeth.
Because this method avoids removing large amounts of enamel, it carries less risk to the nerve of the supporting teeth compared with full-coverage conventional bridges.
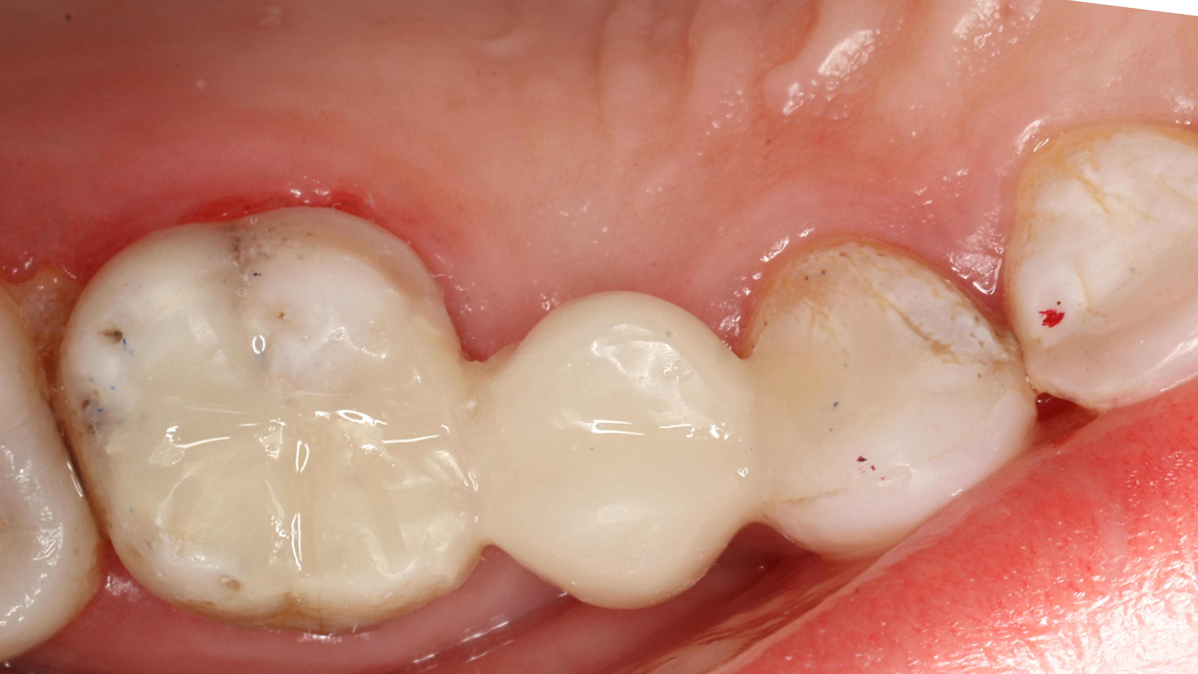
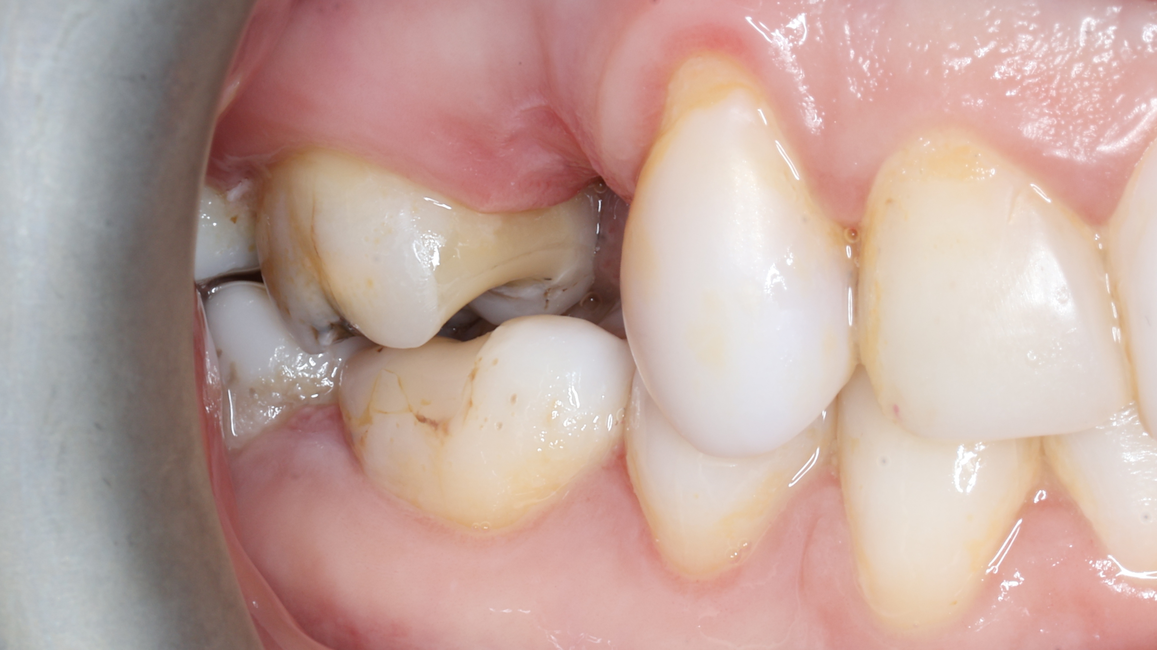
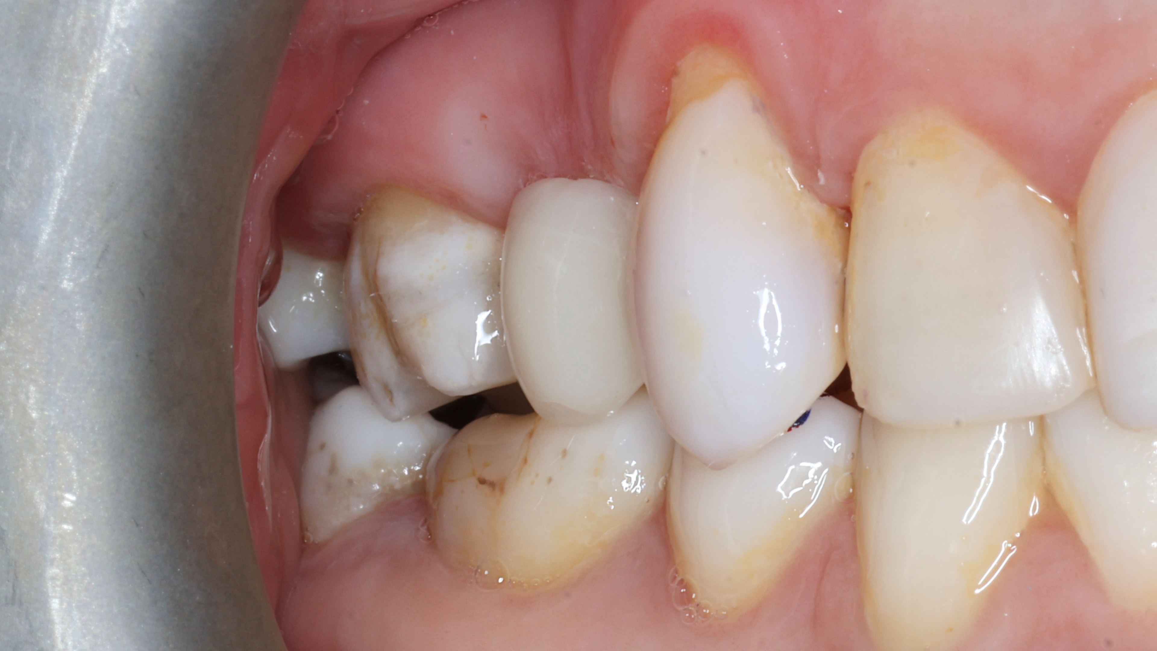
These examples illustrate Tooth Kind Bridges carried out at N1 Dental.
Results depend on factors such as:
The location and size of the gap
The condition of the neighbouring teeth
Individual bite forces and wear patterns
As with all restorations, routine hygiene care and review appointments support long-term performance.
Results vary depending on individual circumstances. Images are shown for illustrative purposes.
Case 1
Before

After

Case 2
Before

After


No mercury-containing materials are used in any of our restorations.

All composite materials are selected to be free from BPA.

Materials are carefully matched to blend naturally with the surrounding tooth.

Adjustments can be made over time if needed, without replacing the entire bridge.
Tooth Kind Bridges may be considered when a patient would like a fixed tooth replacement but wishes to avoid surgical treatment or extensive preparation of neighbouring teeth.
A single tooth is missing and neighbouring teeth are healthy or lightly restored
A patient prefers to avoid surgical treatment such as implant placement
A conventional bridge would require significant enamel removal from adjacent teeth
Neighbouring teeth already have older fillings that would benefit from conservative replacement
Preserving enamel and nerve health is a priority
Treatment follows a careful, precision-focused process:
The gap and neighbouring teeth are assessed and prepared with minimal preparation
A specialist white fibre is placed to provide light, strong support
A tooth-coloured composite tooth is built, shaped, and bonded into position
The result is tooth-coloured, comfortable, and designed to feel natural in everyday use
Treatment is often completed in a single visit, with a second visit sometimes used for refinement or fine-tuning. Local anaesthetic is used when needed to ensure comfort.
Before recommending any bridge, we always begin with a thorough assessment as part of a Biological Foundations consultation.
This allows us to understand the space, the supporting teeth, your bite, and your overall oral health before planning treatment.
Tooth Kind Bridges
Tooth Kind Bridges
£1495 - £1795
If you have a missing tooth, or currently wear a single-tooth denture and would prefer a fixed option that aims to preserve healthy enamel, a Tooth Kind Bridge may be worth considering.

Highbury & Islington (Victoria line) - 15min walk
Angel (Northern line) - 15min walk
Victoria Line / Overground
Essex Road (National Rail) - 5min walk
Canonbury Station (Overground) - 10min walk
Highbury & Islington (National Rail & Overground) - 15min walk
21, 38, 73, 341, 476
Stops within 2-5 min walk
Limited paid parking is available on Halliford St & Rheidol Terrace
Bike racks are available just outside the clinic.
Highbury & Islington (Victoria line) - 15min walk
Angel (Northern line) - 15min walk
Essex Road (National Rail) - 5min walk
Canonbury Station (Overground) - 10min walk
Highbury & Islington (National Rail & Overground) - 15min walk
21, 38, 73, 341, 476
Stops within 2-5 min walk
Limited paid parking is available on Halliford St & Rheidol Terrace
Bike racks are available just outside the clinic.

The first biologically minded,
health-led, dental clinic in Islington.
Looking beyond teeth to understand
how oral health fits into the bigger picture.
©2026 N1 Dental - All Rights Reserved

The first biologically minded,
health-led, dental clinic in Islington.
Looking beyond teeth to understand
how oral health fits into the bigger picture.
©2026 N1 Dental - All Rights Reserved