
A conservative way to rebuild and protect damaged teeth while preserving as much natural tooth structure as possible.
On this page, you'll find
What are they
Before and after
Materials and flexibility
When they may be suitable
What to expect
Alternative options
Supportive therapies
Fees
A conservative way to rebuild and protect damaged teeth while preserving as much natural tooth structure as possible.
On this page, you'll find
What are they
Before and after
Materials and flexibility
When they may be suitable
What to expect
Alternative options
Supportive therapies
Fees
Over time, teeth can become heavily filled, cracked, or lose significant structure due to decay or tooth grinding.
Traditionally, this has often been managed with full crowns, which usually require removing much of the remaining enamel to create space for the restoration.
At N1 Dental, where appropriate, we take a more conservative approach. Tooth Kind Crowns and Onlays are advanced composite restorations designed to rebuild and reinforce damaged teeth while conserving as much healthy tooth tissue as possible.
They are bonded directly to the tooth, helping to wrap and protect the remaining structure rather than replacing it entirely.
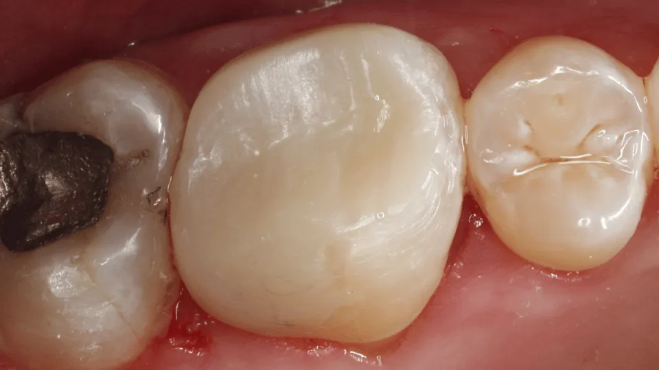
These examples illustrate Tooth Kind Crowns and Onlays carried out at N1 Dental.
Results depend on factors such as:
The extent of damage to the original tooth
The condition of the surrounding tooth structure
Individual wear patterns and bite forces
Results vary depending on the condition of the tooth and starting point. Images are shown for illustrative purposes.
Case 1
Before

After

Case 2
Before

After


No mercury-containing materials are used in any of our restorations.

All composite materials are selected to be free from BPA.

Materials are carefully matched to blend naturally with the surrounding tooth.

Restorations can be repaired or adjusted without replacing the entire restoration.

Can be upgraded to a ceramic restoration in the future if and when that becomes appropriate.
This approach may be considered for teeth with:
In cases of generalised wear affecting many teeth, a broader tooth wear treatment plan may be more appropriate and will be discussed if relevant.
Large or failing fillings
Cracked or weakened cusps
Loss of tooth structure due to grinding or wear
Damage where a simple filling is no longer sufficient
Treatment follows a careful, precision-focused process:
The tooth is carefully assessed and prepared
Damaged areas are rebuilt using bonded composite material
The restoration is shaped, bonded, and polished to restore strength and function
Where appropriate, treatment is often completed in a single, longer visit. Local anaesthetic is used when needed to ensure comfort.
There are situations, particularly when replacing existing crowns or where a tooth requires additional protection, where a conventional ceramic crown may be the most appropriate choice.
We'll always explain the reasoning clearly, so you understand why a particular option is being suggested.
In some cases, additional supportive therapies may be used alongside Tooth Kind Crowns and Onlays where appropriate. These are not standalone treatments and are selected based on individual clinical need.

Ozone therapy

Nerve-saving treatment

SMART amalgam removal
These measures support healing and decision-making and are not provided in isolation.
Tooth Kind Crowns
and Onlays
From £795 – £1,295
Fees depend on tooth size and complexity. Exact fees are confirmed following assessment.
If you're concerned about heavily filled, cracked, or worn teeth,
Tooth Kind Crowns and Onlays may be worth considering.

Highbury & Islington (Victoria line) - 15min walk
Angel (Northern line) - 15min walk
Victoria Line / Overground
Essex Road (National Rail) - 5min walk
Canonbury Station (Overground) - 10min walk
Highbury & Islington (National Rail & Overground) - 15min walk
21, 38, 73, 341, 476
Stops within 2-5 min walk
Limited paid parking is available on Halliford St & Rheidol Terrace
Bike racks are available just outside the clinic.

The first biologically minded,
health-led, dental clinic in Islington.
Looking beyond teeth to understand
how oral health fits into the bigger picture.
©2026 N1 Dental - All Rights Reserved
Highbury & Islington (Victoria line) - 15min walk
Angel (Northern line) - 15min walk
Essex Road (National Rail) - 5min walk
Canonbury Station (Overground) - 10min walk
Highbury & Islington (National Rail & Overground) - 15min walk
21, 38, 73, 341, 476
Stops within 2-5 min walk
Limited paid parking is available on Halliford St & Rheidol Terrace
Bike racks are available just outside the clinic.

The first biologically minded,
health-led, dental clinic in Islington.
Looking beyond teeth to understand
how oral health fits into the bigger picture.
©2026 N1 Dental - All Rights Reserved